Iklan - Scroll untuk Melanjutkan
Baca artikel Popmama lainnya di IDN App
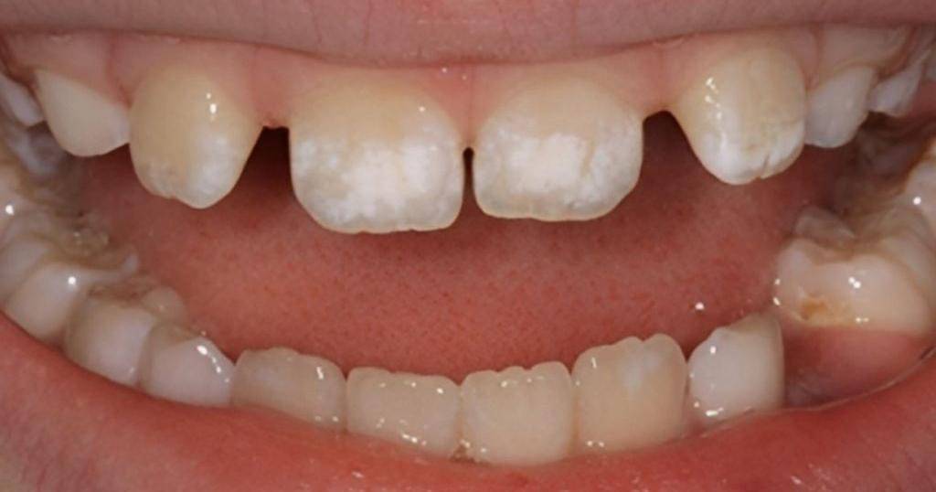
Bercak Putih pada Gigi Anak Bisa Pertanda Bahaya, Jangan Dibiarkan!
mhdc.co.id

Gigi anak yang tampak bersih dan sehat adalah dambaan setiap orangtua. Namun, apa jadinya jika muncul bercak putih pada permukaan gigi si Kecil? Meskipun terlihat sepele, bercak putih ini tidak boleh diabaikan. 

Banyak yang mengira bahwa bercak putih hanyalah tanda estetik semata, padahal bisa jadi itu merupakan gejala awal masalah kesehatan gigi yang lebih serius. Bercak putih bisa menjadi sinyal bahwa gigi anak sedang dalam kondisi rentan. 

Melansir dari berbagai sumber, berikut Popmama.com siap membahas lebih lanjut mengenai bercak putih pada gigi anak bisa pertanda bahaya

Penyebab Muncul Bercak Putih pada Gigi Anak

medicalnewstoday.com

Pada dasarnya, bercak putih pada gigi anak dapat terjadi karena adanya penumpukan plak terus menerus dalam jangka waktu lama. Hal ini dapat disebabkan karena berbagai faktor yang merupakan kebiasaan buruk anak, seperti: 

  • Sikat gigi yang tidak bersih. 
  • Pola makan yang terlalu banyak makanan atau camilan manis.
  • Minum susu sambil tidur dengan ngedot. 
  • Kebiasaan mengemut. 

Kebiasaan buruk di atas dapat menyebabkan sisa makanan atau susu menumpuk di permukaan gigi, sehibgga menciptakan lingkungan yang ideal bagi bakteri untuk berkembang biak. 

Bakteri dapat merusak lapisan pelindung gigi dengan menghilangkan mineral penting, sebuah proses yang dikenal sebagai demineralisasi. Pada tahap awal, kerusakan ini sering terlihat dalam bentuk bercak putih yang muncul pada permukaan gigi.

Efek Bercak Putih pada Gigi Anak

Freepik

Bercak putih pada gigi anak sering kali dianggap sepele karena tidak menimbulkan rasa sakit atau ketidaknyamanan secara langsung. Namun, kondisi ini sebenarnya bisa menjadi tanda awal masalah kesehatan gigi yang serius. 

Berikut adalah beberapa efek yang dapat terjadi akibat bercak putih pada gigi anak:

1. Tanda Demineralisasi Awal

Bercak putih biasanya merupakan tanda pertama demineralisasi, yaitu hilangnya mineral-mineral penting pada lapisan enamel gigi. Jika tidak ditangani, proses ini dapat melemahkan struktur gigi, membuatnya lebih rentan terhadap kerusakan atau gigi berlubang (karies).

2. Kerusakan Enamel

Ketika bercak putih dibiarkan tanpa perawatan, enamel gigi yang sudah kehilangan mineralnya akan terus melemah. Hal ini dapat menyebabkan gigi anak menjadi rapuh, mudah pecah, atau terkikis lebih lanjut.

3. Fluorosis

Dalam beberapa kasus, bercak putih bisa disebabkan oleh fluorosis, yaitu kondisi akibat paparan fluoride berlebih selama pembentukan gigi. Fluorosis ringan mungkin hanya menimbulkan perubahan warna, tetapi fluorosis berat dapat memengaruhi kekuatan gigi dan menyebabkan noda permanen.

4. Gangguan Estetika

Meskipun mungkin tidak memengaruhi kesehatan fisik secara langsung, bercak putih bisa berdampak pada kepercayaan diri anak, terutama saat mereka mulai peduli terhadap penampilan. Warna yang tidak merata pada gigi dapat membuat anak merasa kurang percaya diri, terutama di lingkungan sosial atau sekolah.

5. Potensi Karies Gigi

Bercak putih yang tidak dirawat bisa berkembang menjadi karies gigi. Ketika enamel semakin terkikis, bakteri dapat menembus lapisan gigi lebih dalam, sehingga menyebabkan kerusakan yang lebih parah dan bahkan infeksi pada akar gigi.

6. Kemungkinan Masalah Mulut Lainnya

Kondisi gigi yang sudah lemah akibat bercak putih berisiko lebih tinggi mengalami masalah lainnya, seperti sensitivitas gigi terhadap makanan panas, dingin, atau manis. Gigi yang sensitif dapat mengganggu kenyamanan anak saat makan dan minum.

Pencegahan dan Penanganan Bercak Putih pada Gigi

Freepik/user18526052

Untuk mencegah bercak putih pada gigi anak, orangtua harus menjaga kebersihan mulut anak dengan rutin menggosok gigi menggunakan pasta gigi berfluoride dalam jumlah yang tepat. 

Selain itu, penting untuk membatasi konsumsi makanan manis, susu botol sebelum tidur, dan memastikan anak memeriksakan gigi secara rutin ke dokter gigi. 

Jika bercak putih sudah muncul, konsultasikan dengan dokter gigi untuk mendapatkan perawatan seperti remineralisasi atau perbaikan kosmetik, sesuai dengan tingkat keparahannya.

Demikian ulasan terkait bercak putih pada gigi anak bisa pertanda bahaya. Semoga informasinya membantu ya, Ma. 

Editorial Team