- Simple Trisomy 13: Simple Trisomi 13 adalah jenis yang paling parah karena kelainan salinan kromosom ditemukan di semua sel.
- Mosaic Trisomy 13: Sebagian sel memiliki kromosom 13 ekstra. Adam Fabumi mengalami Mosaic Trisomy 13, di mana kelainan hanya ditemukan di beberapa sel saja.
- Partial Trisomy 13: Sel memiliki sebagian kromosom ekstra.
Mengenal Trisomi 13, Perenggut Nyawa Bayi

Akhir tahun 2017, jagad maya dihebohkan dengan kabar meninggalnya Adam Fabumi, bayi berusia 7 bulan yang mengidap kelainan langka Trisomi 13.
Mama Adam yang bernama Ratih, mengoperasikan akun Instagram @adamfabumi untuk memberikan informasi perkembangan kesehatan anaknya setiap hari.
Banyak warganet yang bersimpati kemudian menjadi pengikut setia akun tersebut.
Perjuangan dan perkembangan kesehatan Adam dari hari ke hari selalu dinanti warganet. Kisahnya tentu terdengar pilu, membayangkan sepasang suami-istri yang baru menikah lalu segera berbahagia dengan hadirnya momongan. Tapi tak sampai sebulan usia si Kecil, vonis kelainan itu bagai sambaran petir di siang bolong.
Baby Adam akhirnya meninggal dunia setelah berjuang tujuh bulan lamanya melawan trisomi 13.
Padahal di dunia kedokteran, bayi dengan trisomi 13 divonis tak mampu bertahan hidup lewat dari seminggu. Nyatanya Adam memberi bukti lain. Cinta dan kasih sayang Mama-Papa adalah kekuatan bagi Adam. Meski hanya bertahan tujuh bulan, kisahnya menjadi pelajaran bagi banyak orangtua.
Kini Ratih mendirikan Adam Fabumi Foundation, sebuah yayasan amal yang membantu anak-anak dengan penyakit langka untuk mendapat pengobatan.
Sebenarnya, apa itu trisomi 13 dan bagaimana bisa terjadi?
Simak penjelasannya berikut ini.
Trisomi 13 adalah Kelainan Genetik yang Tidak Bisa Diobati

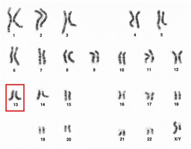
Trisomi 13 adalah kelainan genetik yang tidak bisa diobati. Kelainan ini terjadi jika jumlah salinan kromosom saat pembelahan sel tidak sesuai ketentuan normalnya. Setiap kromosom seharusnya terdiri atas dua salinan. Tapi pada penderita trisomi 13, kromosom ke-13 berisi tiga salinan. Hal ini mengakibatkan sejumlah kelainan yang disebut sebagai Patau Syndrome.
Kelainan ini sebenarnya bisa terdeteksi sejak bayi masih dalam kandungan. Tapi tanda-tanda jelasnya memang lebih tampak saat bayi sudah lahir. Menurut dr. Klara Yuniarti SpA (K), seorang dokter anak di Rumah Sakit Cipto Mangunkusumo, sejak usia kehamilan menginjak bulan ketiga bisa diamati dari USG apakah janin mengalami kelainan atau tidak.
Untuk pemeriksaan lebih lanjut yang bersifat laboratori, dapat dilakukan melalui Non Invasive Prenatal Testing (NIPT) dengan mengambil sampel darah Mama. Melalui teknik pemisahan khusus akan teridentifikasi mana darah bayi dan darah Mama. Dari sini bisa dilanjutkan dengan pemeriksaan yang bersifat genetis, untuk memetakan kondisi gen janin.
Meski trisomi 13 terdeteksi sejak masih dalam kandungan, tidak ada upaya yang dapat dilakukan untuk penyembuhan.
Penyakit ini adalah kelainan genetik yang terjadi saat sel mulai membelah. Artinya, itu terjadi sejak sel telur dibuahi sperma lalu tumbuh menjadi janin.
Sementara pengamatan dengan USG dan penelitian laboratorium baru bisa dilakukan di usia ke-3 bulan kehamilan.
Menimbulkan Gangguan Kesehatan yang Kompleks

Sindrom Patau yang diakibatkan oleh trisomi 13 memunculkan gangguan kompleks pada beberapa organ sekaligus. Malah tak sedikit Mama yang mengalami keguguran atau bayinya meninggal setelah dilahirkan, karena gangguan sindrom ini.
Gangguan yang ditimbulkan antara lain adalah bibir sumbing, sulit membuka mata, kesulitan bernapas, jumlah jari tangan dan kaki yang tidak normal, sampai gangguan organ dalam karena jarak antar organ yang lebih sempit dari normalnya.
Selain itu, bayi yang bisa bertahan beberapa minggu atau bulan dengan trisomi 13 akan mengalami kesulitan bergerak. Anggota tubuh khususnya organ gerak mengalami kaku dan menimbulkan rasa nyeri.
Tiga Kategori Trisomi 13

Kelainan genetik trisomi 13 terbagi menjadi 3 kategori. Setiap kategori menunjukan tingkat keparahan kelainan genetik itu. Berikut kategori trisomi 13 menurut webmd.com yaitu:
Dampak dari trisomi 13 memang tidak selalu parah. Jika mengalami trisomi 13 tipe simple maka bisa berakibat fatal karena gangguan kompleks yang terjadi di tingkatan organ dalam sulit untuk diatasi satu per satu. Namun, jenis trisomi yang lain memungkinkan anak hidup hingga dewasa.
Untuk menghindari janin Mama terjangkit trisomi 13, biasakan pola hidup dan makan sehat sejak masuk usia subur.
Sedangkan untuk Mama yang pernah mengandung atau melahirkan bayi penderita trisomi 13, sebaiknya mengikuti konseling genetik dan analisa kromosom sebelum mempersiapkan kehamilan berikutnya.
Masalah Kesehatan Penderita Trisomi 13

Bayi yang mengalami trisomi 13 memiliki masalah kesehatan yang sangat kompleks. Komplikasi yang mungkin dialami anak penderita trisomi 13 adalah:
- Kesulitan bernapas,
- mengalami kelainan jantung,
- kehilangan kemampuan pendengaran,
- mengalami tekanan darah tinggi,
- memiliki IQ rendah,
- memiliki masalah syaraf,
- pneumonia,
- kejang,
- pertumbuhan yang lambat,
- kesulitan makan dan mencerna makanan.
Kemungkinan hidup anak trisomi 13 yang parah hanya beberapa minggu saja sementara untuk tingkatan lain, anak bisa hidup beberapa tahun atau hingga remaja.
Tidak ada pengobatan untuk kelainan trisomi 13. Dokter hanya akan mengobati gejala yang mengganggu saja sebab trisomi 13 sendiri tidak bisa disembuhkan.
Baca juga:
Mengenal Trisomi 13, Kelainan Genetik yang Sebabkan Cacat Bawaan Lahir



















