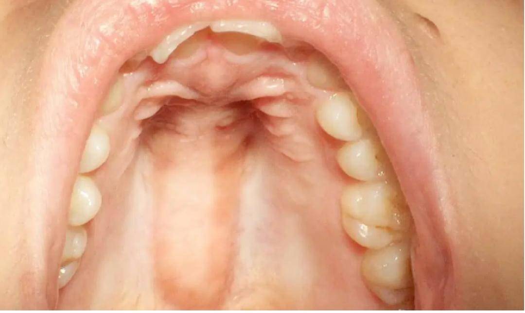
- Terletak di tengah atap mulut kamu.
- Ukuran bervariasi, dari lebih kecil dari 2 milimeter menjadi lebih besar dari 6 milimeter.
- Memiliki berbagai bentuk, datar, nodular, berbentuk spindle, atau terhubung dan berkelompok.
- Pertumbuhan lambat. Biasanya dimulai pada pubertas tetapi mungkin tidak terlihat sampai usia paruh baya.
- Seiring bertambahnya usia, Torus Palatinus berhenti tumbuh dan dalam beberapa kasus, bahkan mungkin menyusut, berkat resorpsi alami tubuh tulang seiring bertambahnya usia.
Torus Palatinus: Gejala, Penyebab, dan Cara Mengobati

Torus Palatinus mungkin terdengar aneh bagi kamu. Kondisi ini banyak ditemukan pada beberapa orang.
Torus Palatinus adalah pertumbuhan tulang yang terletak di atap mulut (langit-langit keras). Muncul di tengah langit-langit keras dan dapat bervariasi dalam ukuran dan bentuk.
Meski begitu, kondisi ini tidak berbahaya dan menyakitkan Ada sekitar 20 hingga 30% populasi di dunia memiliki torus palatinus. Ini paling sering terjadi pada wanita dan keturunan Asia.
Popmama.com merangkum berbagai informasi lengkap mengenai torus palatinus!
1. Apa gejalanya?

Diwartakan Healthline, torus palatinus biasanya tidak menyebabkan rasa sakit atau gejala fisik. Namun memiliki karakteristik berikut:
2. Faktor keturunan?

Para peneliti tidak yakin apa yang menyebabkan Torus Palatinus. Namun genetik diduga menjadi penyebabnya.
Menurut peneliti, komponen genetik sedemikian rupa atau faktor keturunan. Jadi seseorang dengan torus palatinus dapat meneruskan kondisi mereka kepada anak-anak mereka.
3. Penyebab lain

- Diet.
- Sering konsumsi ikan air asin. Para peneliti yang mempelajari torus palatinus lazim terjadi di negara-negara di mana orang mengonsumsi sejumlah besar ikan air asin, seperti Jepang, Kroasia, dan Norwegia. Ikan air asin mengandung sejumlah besar lemak tak jenuh ganda dan vitamin D, dua nutrisi penting untuk pertumbuhan tulang.
- Beberapa peneliti percaya ada hubungan antara tekanan yang ditempatkan pada struktur tulang di mulut saat kamu mengunyah. Namun faktor penyebab ini masih membutuhkan penelitian tambahan.
- Peningkatan kepadatan tulang. Peneliti menemukan bahwa wanita pascamenopause biasanya memiliki torus palatinus
4. Bagaimana cara mengetahuinya?

Jika torus palatinus kecil dan tidak memiliki gejala, seringkali diketahui oleh dokter gigi selama pemeriksaan rutin. Kondisi ini tak mempengaruhi kamu.
Namun jika cukup besar, kamu akan merasakannya. Biasanya, akan membuat kamu tak nyaman. Bahkan, merasa mulut seperti terganjal sesuatu.
5. Cara menghilangkannya

Kondisi ini dianggap wajar dan tidak membahayakan. Perawatan untuk Torus Palatinus biasanya tidak direkomendasikan.
Namun kamu tetap bisa menghilangkannya apabila mengalami kondisi ini:
- Membuat kamu sulit mengunyah, minum, berbicara, atau menyikat gigi.
- Menonjol ke tingkat yang berbahaya, hingga membuat mulut terasa seperti terganjal atau tersedak.
Pembedahan dapat dilakukan di bawah anestesi lokal. Ahli bedah kamu biasanya akan melakukan tindakan operasi leher, wajah, dan rahang. Mereka akan membuat sayatan di tengah langit-langit dan menghilangkan kelebihan tulangnya.
Torus Palatinus denga ukuran kecil memang tak berbahaya. Namun jika sudah besar dan rasanya mengganjal, kamu harus segera berkonsultasi ke dokter.



-8gfDIgtKoZ2WGLEKFGDlPwT4RpyIqlI3.jpg)


-QhxF8Ou7dnGCYsPQ2z0PvH7c9nW4s37P.jpg)







-5lgiKRRmRLaF4vrH5HFrq2QKycbElVG4.jpg)




