- Kelahiran prematur (bayi lahir sebelum 37 minggu)
- Berat badan lahir rendah
- Preeklampsia (tekanan darah tinggi disertai kerusakan organ)
Waspada! Radang Gusi Parah Ibu Hamil Bisa Sebabkan Komplikasi ke Janin

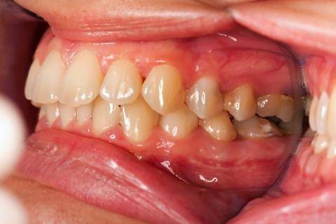
Radang gusi bisa berkembang jadi periodontitis, sehingga menyebabkan gigi goyah atau tanggal.
Penyakit gusi parah dapat meningkatkan risiko komplikasi kehamilan dan memengaruhi janin.
Gejala radang gusi perlu diwaspadai, ibu hamil perlu mencegah masalah kesehatan ini dengan menjaga kebersihan mulut.
Selama masa kehamilan, tubuh mengalami banyak perubahan, termasuk pada area mulut dan gusi. Salah satu masalah yang sering muncul adalah radang gusi atau gingivitis, yaitu peradangan pada jaringan gusi akibat penumpukan plak di sekitar gigi.
Jika tidak dibersihkan dengan baik, plak yang menempel di sepanjang garis gusi bisa memicu gusi menjadi merah, bengkak, dan mudah berdarah. Kondisi ini dikenal sebagai pregnancy gingivitis atau radang gusi pada ibu hamil.
Menurut Centers for Disease Control and Prevention (CDC), kondisi ini terjadi pada 60-75 persen ibu hamil. Perubahan hormon selama kehamilan membuat gusi lebih sensitif terhadap bakteri di mulut, sehingga risiko radang gusi pun meningkat.
Meski tampak sepele, radang gusi yang dibiarkan bisa berkembang menjadi infeksi yang lebih parah atau periodontitis. Komplikasi periodontitis berpotensi memengaruhi kesehatan janin, lho.
Berikut Popmama.com rangkum informasi mengenai radang gusi parah ibu hamil bisa sebabkan komplikasi ke janin.
Yuk, cek fakta dan informasi lengkapnya!
1. Radang gusi bisa berkembang jadi periodontitis

Jika radang gusi dibiarkan tanpa perawatan, peradangannya bisa berkembang menjadi periodontitis, yaitu infeksi yang lebih dalam pada jaringan penyangga gigi.
Pada tahap ini, bakteri tidak hanya menyerang gusi, tetapi juga tulang dan jaringan yang menahan gigi, sehingga bisa menyebabkan gigi goyah atau bahkan tanggal.
Kondisi periodontitis memicu respons peradangan sistemik dalam tubuh. Artinya, infeksi pada gusi bisa mengeluarkan zat peradangan (sitokin dan prostaglandin) ke aliran darah, yang dapat berdampak pada organ tubuh lain, termasuk rahim dan plasenta.
2. Hubungan antara penyakit gusi dan komplikasi kehamilan

Beberapa penelitian menunjukkan bahwa penyakit gusi yang parah dapat meningkatkan risiko komplikasi kehamilan. Senada dengan itu, Prof. drg. Suryono, S.H., M.M., Ph.D., Ketua Asosiasi Fakultas Kedokteran Gigi Indonesia saat Konferensi Pers Peresmian Bulan Kesehatan Gigi Nasional 2025: Cek Gigi dan Gusi untuk Senyum Indonesia Hebat, Minggu (21/9/2025), menyampaikan mengenai risiko serupa.
"Terutama kalau sudah ada radang (periodontitis), ada inflamasi. Bagi ibu hamil komplikasinya tidak hanya pada ibunya tapi bisa sampai janinnya. Karena ternyata pada posisi radang itu sitokin yang dihasilkan dari proses inflamasi bisa menyebar sampai dengan rahim," jelas drg. Suryono.
3. Komplikasi radang gusi parah atau periodontitis pada ibu hamil ke janin

Meski tidak selalu menjadi penyebab langsung, infeksi dan peradangan kronis di mulut diyakini dapat memicu respons imun yang berlebihan pada tubuh ibu hamil.
Akibatnya, bakteri dan zat peradangan dari gusi bisa masuk ke aliran darah dan memengaruhi perkembangan janin. Kondisi ini diduga berhubungan dengan beberapa komplikasi, seperti:
Centers for Disease Control and Prevention (CDC) juga mencatat adanya asosiasi antara periodontitis dan kelahiran prematur serta bayi dengan berat badan rendah.
Meski belum terbukti secara pasti sebagai penyebab langsung, kaitan ini cukup kuat untuk membuat ibu hamil lebih waspada terhadap kesehatan gigi dan gusi.
4. Gejala radang gusi yang perlu diwaspadai

Tanda-tanda awal radang gusi kadang tidak disadari. Namun, ibu hamil sebaiknya segera memeriksakan diri ke dokter gigi jika mengalami beberapa tanda, seperti:
- Gusi merah, bengkak, atau terasa nyeri
- Gusi mudah berdarah saat menyikat gigi
- Napas tidak sedap
- Gigi terasa longgar
- Rasa tidak nyaman di sekitar gusi
Mengenali gejala sejak dini bisa mencegah infeksi berkembang menjadi periodontitis yang lebih serius.
5. Cara mencegah dan mengatasi radang gusi saat hamil

Menjaga kebersihan mulut adalah langkah utama untuk mencegah radang gusi. Berikut beberapa tips yang aman dilakukan selama kehamilan, antara lain:
- Sikat gigi dua kali sehari dengan pasta gigi berfluoride.
- Gunakan benang gigi (flossing) setiap hari untuk menghilangkan plak di sela-sela gigi.
- Kumur dengan obat kumur antibakteri yang aman untuk ibu hamil.
- Konsumsi makanan bergizi yang kaya vitamin C dan kalsium untuk memperkuat jaringan gusi.
- Periksa ke dokter gigi secara rutin, terutama jika gusi sering berdarah atau terasa nyeri.
Jika diperlukan, lakukan pembersihan karang gigi (scaling), prosedur ini aman dimulai pada trimester kedua kehamilan setelah konsultasi dengan dokter kandungan.
5. Kapan harus ke dokter gigi?

Ibu hamil sebaiknya tidak menunda pemeriksaan gigi, terutama jika sudah muncul tanda-tanda infeksi. Perawatan gigi yang dilakukan dengan hati-hati aman selama kehamilan dan justru penting untuk mencegah risiko komplikasi.
Dokter gigi dan dokter kandungan bisa bekerja sama menentukan waktu terbaik untuk perawatan agar tetap aman bagi ibu dan janin.
Itulah tadi informasi mengenai radang gusi parah ibu hamil bisa sebabkan komplikasi ke janin. Semoga informasi ini membantu, ya.


















-cf4163f640c5a1fa2a7eeb3068e19385.png)
