- Skoliosis idiopatik
5 Fakta Seputar Skoliosis pada Bayi, Mama Wajib Tahu Lebih Awal

Skoliosis adalah kelainan tulang belakang yang dapat dialami oleh bayi, anak-anak, remaja, hingga orang dewasa.
Penderita skoliosis memiliki lengkungan tulang belakang yang membentuk semacam huruf S atau C.
Hal ini dapat menyebabkan sakit punggung yang akut dan membatasi aktivitas yang dapat dilakukan penderitanya.
Namun, pada beberapa kasus, skolisis juga bisa terjadi pada bayi. Untuk itu, di bawah ini Popmama.com merangkum fakta skoliosis pada bayi. Jangan dilewatkan, ya, Ma!
1. Skoliosis pada bayi merupakan kondisi yang jarang terjadi

Skoliosis paling sering dialami oleh anak-anak di masa sebelum pubertas saat mengalami lonjakan pertumbuhan.
Hal ini juga bisa disebabkan karena kelainan pembentukan tulang dan postur tubuh yang salah dan kebiasaan buruk lainnya.
Sementara itu, skoliosis pada bayi merupakan kasus yang jarang terjadi, namun kemungkinannya tetap ada.
Skoliosis pada bayi 6 bulan hingga di bawah 2 tahun sering disebut juga infantile scoliosis, congenital scoliosis atau idiopathic scoliosis.
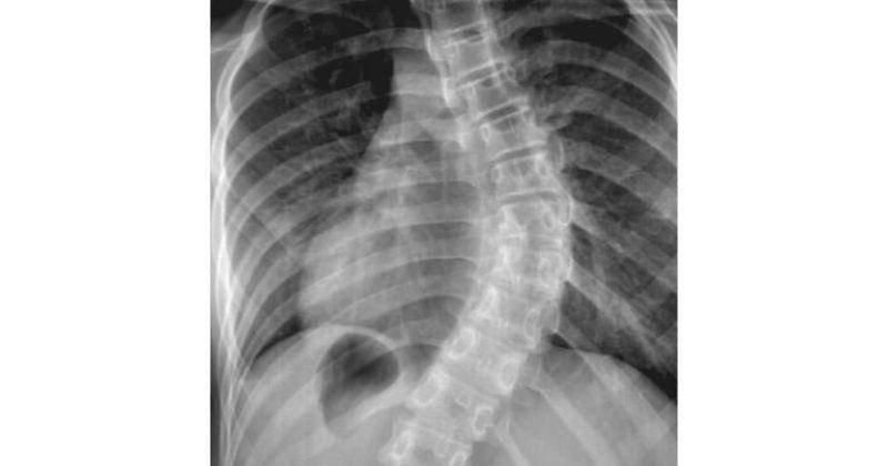
2. Skoliosis pada bayi diukur dari derajat lengkungan ulang belakang

Skoliosis pada anak yang lebih besar dapat diamati dari keluhan nyeri punggung bawah, punggung terasa kaku, hingga nyeri dan mati rasa pada kaki.
Sementara pada bayi dapat terlihat dari salah satu tulang belikat yang lebih menonjol, adanya tonjolan pada salah satu pinggul, dan salah satu bahu terlihat lebih tinggi.
Namun, karena bayi belum bisa berdiri dengan sempurna, pemeriksaan skoliosis secara akurat dapat dilakukan dengan melalui tes x-ray.
Selanjutnya derajat kelengkungan tulang belakang dapat diukur setelah pemeriksaan x-ray.
3. Penyebab pasti skoliosis pada bayi tak diketahui

Skoliosis pada bayi umumnya tak memiliki penyebab yang spesifik dan pasti, namun ada 2 kemungkinan yang dapat dijadikan acuan.
Skoliosis tipe ini dipengaruhi oleh adanya faktor internal, yaitu genetik. Artinya kondisi ini dipengaruhi oleh garis keturunan.
- Skoliosis kongenital
Skoliosis ini dapat terjadi karena adanya kelainan atau pertumbuhan tulang belakang hang tidak normal saat bayi masih berasa di dalam kandungan.
4. 50 persen kasus skoliosis pada bayi tak memerlukan perawatan medis

Melansir dari Hopskin Medicine, sekitar 50 persen kasus penderita skoliosis pada bayi tak memerlukan pengobatan medis secara intensif.
Artinya, kondisi tulang belakang yang melengkung dapat membaik dengan sendirinya seiring perkembangan si Kecil.
Namun, pada beberapa kasus, kondisi bayi penderita skoliosis tak membaik dan membutuhkan perawatan untuk mengurangi derajat lengkungan tulang.
5. Lengkungan tulang belakang karena skoliosis dapat dikurangi dengan penyangga

Cast atau sebutan untuk penyangga bagi bayi penderita skoliosis berfokus untuk mengurangi tekanan tulang dan mengoreksi lengkungan.
Bayi dapat beraktivitas sehari-hari dengan terus mengenakan cast. Penyangga ini dimodifikasi agar memudahkan proses mandi atau penggantian popok.
Lama pemakaian penyangga bervariasi dari satu anak ke anak lainnya, dengan rata-rata 6 bulan.
Setelahnya, anak dapat beralih pada penggunaan brace yang dapat dilepas dan biasanya dikenakan selama 23 jam perhari hingga skoliosis membaik.
Itu tadi fakta seputar skoliosis pada bayi yang harus Mama ketahui lebih awal. Semakin cepat skoliosis dideteksi, semakin cepat si Kecil mendapat penanganan.
Baca juga:



















